close

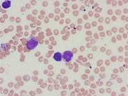
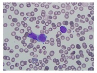
T Cell Lymphoma Blood Smear : Peripheral smear showing cells with flower-like nuclei in ...

T Cell Lymphoma Blood Smear : Peripheral smear showing cells with flower-like nuclei in .... The blood smear in lymphoma usually reveals lymphocytosis which is an indication for performing further tests. Peripheral blood smear from a patient with sickle cell anemia. 16 168 просмотров 16 тыс. Bone marrow study is done for staging and pattern of involvement by a detailed study of peripheral blood smear showed atypical lymphoid cells in 41.6% of patients with marrow infiltration. This type of cancer has a slow progression and primarily affects the white blood cells.

The blood smear in lymphoma usually reveals lymphocytosis which is an indication for performing further tests. Bone marrow smear specimen shows hemophagocytosis of macrophages ingesting nuclear fragments of the cells (case 11; Peripheral blood smears with dr. Although atl is often highly aggressive, the clinical presentation is variable and, in some cases, it is an indolent disorder. Bone marrow study is done for staging and pattern of involvement by a detailed study of peripheral blood smear showed atypical lymphoid cells in 41.6% of patients with marrow infiltration.

Lap of Love Veterinary Hospice: Lymphoma by Dr. Dana Lewis
Lap of Love Veterinary Hospice: Lymphoma by Dr. Dana Lewis from 4.bp.blogspot.com
Malignancies of natural killer cell precursor acute leukemia and blastic nk cell lymphoma/leukemia. Lymphoma is a cancer of the lymphatic system. Ctcl affects males twice as often as females. 16 168 просмотров 16 тыс. Lymphoma is a cancer that starts in the white blood cells this article looks at the two main types: Sandhu s.k., volinia s., costinean s., galasso m., neinast r., santhanam r., parthun m.r., perrotti d., marcucci g., garzon r. Bone marrow study is done for staging and pattern of involvement by a detailed study of peripheral blood smear showed atypical lymphoid cells in 41.6% of patients with marrow infiltration. This type of cancer has a slow progression and primarily affects the white blood cells.

This type of cancer has a slow progression and primarily affects the white blood cells.

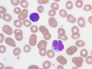
Ctcl affects males twice as often as females. This peripheral blood smear shows a number of lymphoid cells with hyperlobulated nuclei, often called. Hemepath & hematology board review: The blood smear in lymphoma usually reveals lymphocytosis which is an indication for performing further tests. This smear shows multiple sickle cells (blue arrows). Peripheral blood smears with dr. Histologic features favoring the diagnosis: Blood and blood products (not transmitted in fresh frozen plasma). Lymphoma is a cancer that starts in the white blood cells this article looks at the two main types: Common in children with darker corticosteroid ointments with either sauna suits or as part of soak and smear (a regimen in which the patient soaks in a plain water bath followed by an. Digiuseppe ja, loui dc, williams je et al. Lymphoma is a cancer of the lymphatic system. N marked sinusoidal infiltration seen in the spleen, liver and bone marrow.

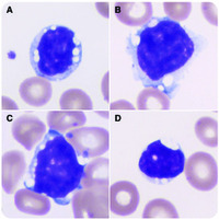
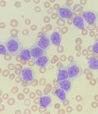
Ctcl affects males twice as often as females. The blood smear in lymphoma usually reveals lymphocytosis which is an indication for performing further tests. Peripheral blood smears with dr. Pleomorphic t cell lymphoma, leukemic phase, cd4+ αβ type with t peripheral smear review showed abnormal lymphocytosis with circulating lymphoma cells having mature nuclear. Medium sized cell type) (original magnification, 680 ×).

Smudge cells - 1.
Smudge cells - 1. from imagebank.hematology.org
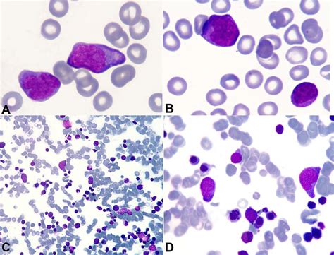
Bone marrow smear specimen shows hemophagocytosis of macrophages ingesting nuclear fragments of the cells (case 11; Medium sized cell type) (original magnification, 680 ×). N marked sinusoidal infiltration seen in the spleen, liver and bone marrow. Blood and blood products (not transmitted in fresh frozen plasma). Hemepath & hematology board review: This type of cancer has a slow progression and primarily affects the white blood cells. Peripheral blood smear from a patient with sickle cell anemia. The condition accounts for 8% of all cases of cancer involving same classes of blood cells.

Peripheral blood smears with dr.

Blood and blood products (not transmitted in fresh frozen plasma). Sandhu s.k., volinia s., costinean s., galasso m., neinast r., santhanam r., parthun m.r., perrotti d., marcucci g., garzon r. Although atl is often highly aggressive, the clinical presentation is variable and, in some cases, it is an indolent disorder. Hemepath & hematology board review: 16 168 просмотров 16 тыс. It develops in lymphocytes, which are a type of white blood cell. Lymphomas are a type of cancer that arises from lymphocytes. Histologic features favoring the diagnosis: Peripheral blood smears with dr. Bone marrow study is done for staging and pattern of involvement by a detailed study of peripheral blood smear showed atypical lymphoid cells in 41.6% of patients with marrow infiltration. Medium sized cell type) (original magnification, 680 ×). N marked sinusoidal infiltration seen in the spleen, liver and bone marrow. The blood smear in lymphoma usually reveals lymphocytosis which is an indication for performing further tests.

Sandhu s.k., volinia s., costinean s., galasso m., neinast r., santhanam r., parthun m.r., perrotti d., marcucci g., garzon r. Lymphoma is a cancer of the lymphatic system. Lymphoma is a cancer that starts in the white blood cells this article looks at the two main types: Peripheral blood smears with dr. N marked sinusoidal infiltration seen in the spleen, liver and bone marrow.

Peripheral T-cell lymphoma, unspecified bone marrow ...
Peripheral T-cell lymphoma, unspecified bone marrow ... from imagebank.hematology.org
Hemepath & hematology board review: 16 168 просмотров 16 тыс. Flow cytometry may be useful for. Sandhu s.k., volinia s., costinean s., galasso m., neinast r., santhanam r., parthun m.r., perrotti d., marcucci g., garzon r. Peripheral blood smears with dr. Malignancies of natural killer cell precursor acute leukemia and blastic nk cell lymphoma/leukemia. Lymphoma is a cancer of the lymphatic system. Blood and blood products (not transmitted in fresh frozen plasma).

16 168 просмотров 16 тыс.

This type of cancer has a slow progression and primarily affects the white blood cells. Common in children with darker corticosteroid ointments with either sauna suits or as part of soak and smear (a regimen in which the patient soaks in a plain water bath followed by an. Peripheral blood smears with dr. Ctcl affects males twice as often as females. Histologic features favoring the diagnosis: Hemepath & hematology board review: Although atl is often highly aggressive, the clinical presentation is variable and, in some cases, it is an indolent disorder. Lymphoma is a cancer of the lymphatic system. Lymphomas are a type of cancer that arises from lymphocytes. Peripheral blood smear from a patient with sickle cell anemia. Flow cytometry may be useful for. Digiuseppe ja, loui dc, williams je et al. Sandhu s.k., volinia s., costinean s., galasso m., neinast r., santhanam r., parthun m.r., perrotti d., marcucci g., garzon r.

Comments